Loading...
20/09/2024
SPOROTRICHOSIS IN DOGS
Introduction
Sporotrichosis is a disease caused by the dimorphic fungus Sporothrix schenckii (S.schenckii). The disease has been reported in humans, chimpanzees, cats, dogs, pigs, mice, rats, ground squirrels, mules, horses, donkeys, cattle, goats, foxes, armadillos, dolphins, camels, and chickens. In humans, it is also known as gardener's disease due to its common occurrence in gardeners, farmers, bricklayers, florists, or those who come into contact with soil.
Sporothrix schenckii has been isolated from decaying or dead vegetation, dry grass, straw, wood moss, and organic-rich decaying soil. Most animal species can become infected with S.schenckii when exposed to the environment. Transmission from animal to animal occurs through bites or scratches from animals. Sporotrichosis is an important zoonotic disease, with transmission from cats to humans clearly documented.
Characteristics of the pathogen
The morphology of Sporothrix schenckii is a type of dimorphic fungus that lives in soil and on plants, penetrating the skin through abrasions, and sometimes the fungus invades via the respiratory tract. The fungus has a filamentous form when cultured in Sabouraud medium at a temperature of 20 – 26oC, developing after 3 - 7 days; the colonies are flat, cream-colored, and after a week, the colonies become wrinkled and turn black. Microscopic examination reveals slender hyphae with septa, with spherical or oval conidia measuring 2 - 3 x 3 - 6 µm clustered like a flower. The fungus has a yeast form: When cultured on heart infusion medium with 10% blood at a temperature of 37oC; the colonies resemble bacterial colonies, yellow or light gray. Microscopic examination shows yeast cells measuring 1 - 3 x 8 - 10 μm, resembling cigars (Schubach et al, 2012).
Virulence factors
Melanin: Melanin production is a virulence factor found in many pathogenic fungi, and its production in S. schenckii protects the fungus from oxidative stress as well as ultraviolet rays and macrophages.
Adhesins: Adhesion is an important component of pathogenesis. The yeast form of S. schenckii shows increased binding ability to the host's extracellular proteins fibronectin and laminin by using two distinct receptors specific to these proteins.
Proteases: S. schenckii fungi degrade proteins by producing serine protease and aspartic protease. These proteases are essential for fungal growth and play a crucial role in the infection process. Substrates for these proteases include type I collagen skin protein, keratin, and elastin.
Thermotolerance: Growth at the host's body temperature (37°C) is an important requirement for pathogenesis. Some S. schenckii strains are restricted in growth at 35°C and therefore often only cause skin infections due to the cooler temperature inside the body. Species capable of growing at body temperature are often associated with disseminated disease.
Epidemiology
Sporothrix schenckii is distributed worldwide, but certain areas have higher incidence rates. Although only one classical Sporothrix species was identified, modern phylogenetic studies suggest that distinct species may emerge in different geographical regions. Outbreaks involving many people or large geographical areas are rare and usually related to common environmental sources of infection such as wood and moss.
Gardeners and foresters are at high risk of infection because S. schenckii is often isolated from plants and associated packaging materials. S. schenckii can also be transmitted through bites or scratches from infected animals. S. schenckii typically enters the body through minor trauma that breaches the skin's protective barrier. This mode of transmission, along with its presence on roses, has led to the disease being known as "rose handler's disease" or "rose thorn disease."
Inhalation of spores is a rare route of infection, primarily associated with immunocompromised hosts (Schubach et al, 2012).
Pathogenesis
Sporothrix schenckii is found in the environment as a filamentous fungus. In host tissue, it manifests as yeast. The temperature-dependent conversion between filamentous and yeast forms makes S. schenckii a thermally dimorphic fungus. After penetrating the skin, S. schenckii invades deeper tissue layers and converts to the yeast form. S. schenckii can persist in the dermis and subcutaneous tissue at the site of entry, spread to regional lymph nodes causing lymphadenitis, or disseminate through the vascular system. Cutaneous and lymphatic form: S. schenckii enters the body through a breach in the skin's protective barrier. The first symptom is a small skin lesion, which may present as an ulcer or erythema. This form of the disease is characterized by the appearance of lesions at sites distant from the initial infection. Infections can occur in animals and can be transmitted to humans through contact. Disseminated form: Occurs when S. schenckii spreads throughout the body. This form is a very serious condition found only in immunocompromised patients. When the infection is widespread, S. schenckii can affect the joints, brain, and spine. Patients with this condition must be treated aggressively with antifungal medications and may continue on prophylactic antifungal therapy for life to prevent recurrence or reinfection. Essentially, sporotrichosis is a benign disease, although it can develop into a disseminated form, which is rare.
Pathology
Symptoms
Dogs may exhibit respiratory signs such as sneezing, nasal discharge, and difficulty breathing, followed by enlarged lymph nodes. Other observable clinical signs include loss of appetite, vomiting, weight loss, coughing, fever, and dehydration. Skin lesions frequently occur on the head, especially on the nose, followed by the limbs and chest. The duration of skin lesions ranges from 2 to 48 weeks. The cutaneous lymphoid form is rare in dogs and is often associated with nasal lymph node enlargement.
Lesion
The most common lesions in dogs and cats are nodules and ulcers on the skin. The initial lesions are hard nodules under the skin that gradually soften, discharge pus or serum, and progress to form exudative ulcers with slightly elevated clear margins. In uncomplicated fungal infections, the lesions are usually limited to the sites of infection, such as the skin (after skin trauma) or the respiratory tract (after inhalation). In severe cases, often due to immunosuppression, many other organs such as the skin, joints... may be affected.
Immunity
Infections caused by S. schenckii are often self-limiting in immunocompetent hosts. The immune response prevents the dissemination of the fungus and is the reason why most S. schenckii infections are cutaneous.
Natural immunity: The yeast form of S. schenckii is phagocytosed by cells of the innate immune system and is recognized based on the sugars displayed on their surface or lipids in the yeast cell membrane. However, their ability to kill is not high because S. schenckii can modulate the immune response to promote its own survival by inhibiting macrophage cytokine release.
Specific immunity: The specific immune response operates after the host is infected and involves both B cells and T cells. Since the host produces specific antibodies against S. schenckii and these antibodies can protect against the disease, severe forms of the disease are less common in endemic areas where people are almost constantly exposed to S. schenckii spores. Severe forms of the disease increase in immunocompromised patients, highlighting the important role of specific immunity in S. schenckii infections.
Diagnosis
Clinical diagnosis
Clinical signs in dogs and cats are non-specific and require differential diagnosis, including bacterial pyoderma, neoplasms, primarily squamous cell carcinoma, and lymphoma.
Laboratory diagnosis
In addition to the skin and mucosal lesions described in the clinical findings, the main overall lesions in cats are small white spots about 1 mm in diameter on the surface of the pleura and lung parenchyma and enlarged lymph nodes. Although clinical signs, medical history, and epidemiological data may suggest it, definitive diagnosis depends on the isolation and culture of S. schenckii and some basic tests such as cytology, histopathology, and immunohistochemistry.
Collect samples
Samples should be collected according to clinical status, including nasal swab samples, exudative lesions, and pus or serum aspirated from non-draining abscesses, as well as incisional skin biopsy samples. Swabs should be cultured on Sabouraud agar and mycosel agar. Skin biopsies should be taken from the margins of lesions using a 3-4 mm punch. Two tissue samples may be collected, one fixed in 10% formalin for histopathological and immunohistochemical tests, and the second kept in a sterile glass container with sterile saline and antimicrobial agents and transported at cold temperature (4°C) to the diagnostic laboratory for fungal culture.
To check cytology, samples can be taken by smearing on slides to examine ulcerated skin or secretions, swabs, tissue samples from biopsies or skin scrapings can also be taken by aspirating abscesses and nodules. For common diagnosis, whole blood can be directly cultured in blood culture bottles. Another useful sample for systemic diagnosis related to in vivo is bronchoalveolar lavage. At the autopsy stage, tissue samples can be collected for cytology, cytology, histopathology, and immunohistochemistry testing.
Cytology
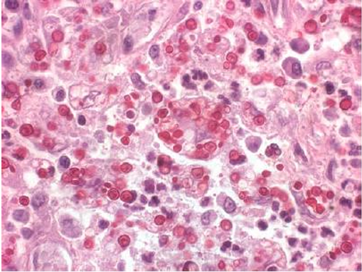
This technique is very useful and relatively accurate for preliminary diagnosis. The smear on the slide is stained with Wright or Romanowsky and the morphology of S. schenckii is observed. Observing the stained specimen under a microscope shows S. schenckii in cigar-shaped to oval or round budding forms measuring 3-5 μm x 5-9 μm, with blue cytoplasm and a single, round, pink nucleus surrounded by an unstained cell wall. These fungi are mainly seen in the cytoplasm of macrophages, in neutrophils, and also outside the cells. Other fungi confused with S. schenckii include C. neoformans and H. capsulatum.
Isolate culture
Inoculate the sample onto Sabouraud agar with chloramphenicol or Sabouraud agar with chloramphenicol supplemented with cycloheximide (Mycosel agar) and incubate at 25-30°C. The growth of S. schenckii hyphae can be observed in 3-5 days. The initial typical colonies are cream-colored, smooth, and moist, gradually becoming dark brown or black with a fibrous texture. However, significant differences can be observed between different isolates. Different culture media can also affect the color and structure of the colonies.
For blood culture, bottles containing 3 mL of whole blood are incubated at room temperature in an inverted position. One ml of the sample sediment is aspirated on the second and seventh days and cultured in a bottle containing BHI (brain-heart infusion) medium incubated at 25°C, observing fungal growth for 6 weeks. Suspected isolates are cultured on PDA (Potato Dextrose Agar) medium at 25°C. Identification depends on the morphological characteristics of the mold form and its conversion to yeast form on blood agar or BHI and at 37°C. The microscopic characteristics of the mold form are thin, basophilic, septate, and branched hyphae with a width of 1.5-2 μm. Spores grow directly from the hyphae like flowers at the tip. Newly isolated cultures often produce two types of spores: either transparent with thin walls and/or dark brown with thick walls. The intensity of the colony color is proportional to the number of dark brown thick-walled spores.
The yeast phase can be created in a test tube by culturing fungal filaments or spores on a nutrient-rich medium such as BHI agar at 37°C. The yeast phase shows oval or cigar-shaped cells and exhibits single or multiple buds with elongated morphology.
Pathology
Microscopic lesions on hematoxylin and eosin-stained tissue are non-specific and may be associated with other pathogenic fungi and protozoa. Therefore, staining techniques such as PAS (periodic acid – Schiff) are often used to identify the structure of S. schenckii. Sporothrix schenckii is oval or cigar-shaped, measuring 4-6 μm, typically exhibiting a single bud with a narrow base and staining pink in PAS.
Histologically, skin lesions in cats and dogs are characterized by ulcerative inflammatory reactions that can vary but are often intense in the dermis, potentially reaching the subcutaneous muscles and fascia. Yeast-like cells can be seen inside macrophages and neutrophils and outside cells in purulent or inflamed exudate areas.
Immunohistochemistry
Immunohistochemistry using fluorescein-conjugated antibodies can be used to identify yeast-like cells of S. schenckii in paraffin-embedded tissue from infected animals. This technique is useful when fungal culture samples do not correlate with cytological and histopathological findings.
Disease prevention and treatment
Treatment
Sodium iodide (NaI) or potassium iodide (KI) are effective drugs; however, due to serious side effects, their use is limited. Itraconazole (ITZ) is the drug of choice for treating the disease in cats and humans because of its higher safety and efficacy compared to other antifungal drugs. Other treatment options in dogs and cats include ketoconazole (KTZ), terbinafine, amphotericin B (AMB) used for topical therapy, and surgical removal of skin lesions.
Treatment should be continued for at least 1 month after recovery to prevent recurrence of clinical signs. Glucocorticoids or any immunosuppressive drugs should not be used during and after treatment, as the disease may worsen or recur. Any concurrent bacterial infections should be treated concurrently for 4-8 weeks with an appropriate antibacterial to help heal the lesions.
The disease in dogs has a good prognosis and is easy to treat. However, it is important to observe the dog to see if the iodine-containing product causes a reaction with the dog. If toxicity occurs, the medication should be stopped for 1 week. If the side effects are mild, they may not recur and therapy should then be resumed. If side effects recur or initial reactions are severe, another medication should be considered. Observed side effects include loss of appetite, vomiting, diarrhea, increased liver enzyme activity, and facial vasculitis.
Disease prevention
Disinfect and sanitize cages or transport containers with hypochlorite (1%) diluted 1:3 in water, for at least 10 minutes. If possible, sun exposure is also very beneficial. After contact with sick animals, the examination table must be cleaned and disinfected with a sodium hypochlorite solution (1%), followed by 70% alcohol, for at least 10 minutes. Additionally, floors and walls must be cleaned and disinfected daily with a sodium hypochlorite solution (1%).
Impact on public health
Sporotrichosis is often associated with exposure to contaminated plants or soil. The highest incidence is among those with occupational risks such as gardeners, florists, forestry workers, hunters, fishermen, and carpenters. Dogs may not be directly related to disease transmission. The disease is not transmitted from person to person.
In humans, the average incubation period is 14 days (ranging from 3-30 days), with red spots developing at the site of fungal infection. These spots often enlarge and ulcerate and may progress to lymphadenitis. Systemic necrosis is rare in humans and only develops in patients with immunodeficiency (HIV-AIDS), malnutrition, diabetes, and alcoholism, or those undergoing immunosuppressive therapy.
----------
Source: Nguyen Duc Hien, Nguyen Ngoc Phu Vinh, Huynh Minh Tri, Pham Minh Thu, Tran Khanh Long (2023). The disease is common in dogs. Can Tho University Press.
Related products
Related posts